Amalgamdaki Civa Zararlı mıdır?
Amalgam dolgu diş hekimliğinde çok uzun yıllardır yapılan dolgu çeşididir. Civa içermesinden dolayı toksik olduğu düşünülse de bu civanın vücutta bir zararının olduğuyla ilgili kesin bir çalışma yoktur.Bazı ülkelerde amalgam dolgu yapılması yasaklanmış olmasına rağmen Dünya Sağlık Örgütü’nün böyle bir açıklaması olmamıştır ve halen güvenle Avrupa ülkeleri dâhil amalgam dolgu kullanılabilmektedir.
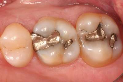
Diş Hekimleri Amalgamı Niçin Tercih Ederler?
Diş hekimliğinde amalgam çiğneme yüzeylerinde dirençli olması ve diş ile uyumu sızdırmazlık açısından çok iyi olması nedeniyle tercih edilebilmekte. Fakat son yıllarda nano teknoloji sayesinde kompozit dolgulardaki yani beyaz dolgulardaki gelişmeler, çiğneme yüzeylerinde de çok sağlam olmaları amalgam dolgunun tahtını sallamıştır. Bu sebeple amalgam dolgular yerini kompozit dolgulara bırakmıştır. Bu bir tercih sebebi midir, bilmiyorum ama amalgam dolgunun maliyeti de kompozit dolguya göre daha uygundur.
Amalgam Dolgusu Sonrası Dikkat Edilmesi Gerekenler Nelerdir?
Amalgam dolgu eğer yapıldı ise başta belirttiğimiz gibi alaşım olduğu için bir katılaşma süresi olacaktır. İlk 2-3 saat içerisinde kırılma ihtimali olacağı için herhangi bir şey yememek gerekir. Zaten cilası için de en az bir gün sonrasına randevu verilir. Bu cila işleminin mutlaka yapılması ve atlanmaması gerekir. Amalgam dolgunun çıkarılması veya değişmesi gerekiyor ise tedbir amaçlı rubber dam takılabilir. Eğer mümkün değilse amalgam tozları çok iyi aspire edilmelidir.
Amalgam Dolgu Dışında Başka Hangi Tedaviler Uygulanır?
Amalgam dolgu yerini zararlı olmasından dolayı değil, kompozit dolgular geliştiği için kompozit dolgulara bırakmış durumda. Kompozit dolgu haricinde de, ölçü alıp laboratuvarda hazırlattığımız seramik dolgular yani inley ve onley dolgular da çürük kavitesini kapattığımız dolgu seçeneklerindendir.


